Dentistry Before and After Photos

At Twin City Dentistry we are dedicated to creating lasting smiles through comprehensive care using the latest technology. We proudly offer personalized, patient-driven care focused on the health, beauty, and functionality of your teeth. Please browse our smile gallery below and contact us to schedule a smile consultation today.

before

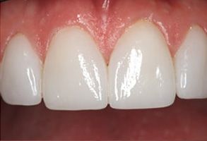
Before

after

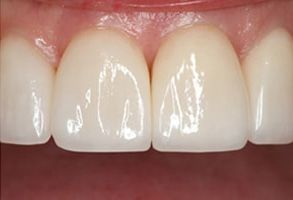
After

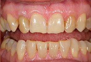
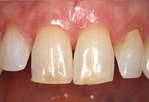
Twin City Dentistry | Oral Exams, Teeth Whitening and Dental Cleanings

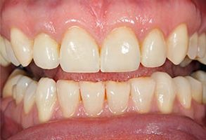
Before

Twin City Dentistry | Digital Radiography, Dental Fillings and Night Guards

After

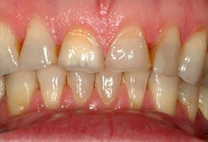
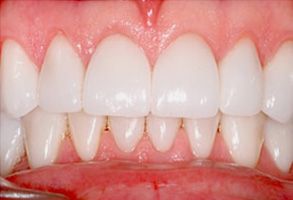
Twin City Dentistry | Dental Fillings, Teeth Whitening and Night Guards

Before

Twin City Dentistry | Oral Exams, Dentures and Digital Impressions

After

Twin City Dentistry | Extractions, Cosmetic Dentistry and Emergency Treatment

Before

Twin City Dentistry | Dental Fillings, Teeth Whitening and Oral Exams

After

Twin City Dentistry | iTero reg  Intraoral Scanner, Dental Fillings and Digital Radiography

Before

Twin City Dentistry | Dental Cleanings, Periodontal Treatment and Extractions

After

Twin City Dentistry | Preventative Program, Teeth Whitening and Extractions

Before

Twin City Dentistry | Night Guards, Preventative Program and Emergency Treatment

After

Twin City Dentistry | Digital Impressions, Night Guards and Dentures

Before

Twin City Dentistry | Dental Cleanings, Cosmetic Dentistry and Teeth Whitening

After

Get in touch

We’re always on hand to answer your questions and get back to you with a prompt response.

Submit

Thank You!

We appreciate you taking the time to visit our site. We'll review your message and be in touch with you soon.

Continue

Let us help bring out the best in your smile!

About Us

Our goal is to help every patient experience the benefits of good oral health and a beautiful smile. We value the trust you have placed in our office and strive to provide solutions that meet your dental needs and expectations of care.

Questions?

New Patients

Existing Patients